Akeel Sharafali
- Home
- /
- Meet the Team
- /
- Akeel Sharafali

DR. AKEEL SHARAFALI BDS,MSc(Endo)
Special Interest in Endodontics
GDC No. 229268
Akeel graduated from the University of Sheffield in 2012. After completing his dental foundation training in East London, he worked as a general dentist in Notting hill. During this time he developed an interest in Endodontics and subsequently started an MSc in Endodontology at the world-renowned Kings College London, which he completed with honours in 2018. He is CBCT Level 2 trained.
Over the past 6 years Akeel accepts internal and external referrals for complex root canal treatment procedures across practices in Oxford, Basingstoke and St Albans. Akeel has a calm, friendly manner and takes the time to discuss treatment options with his patients. He strives to ensure that his patients are relaxed and works towards providing them the best level of care.
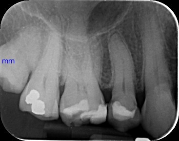
Case 1: Root Canal Treatment UR5



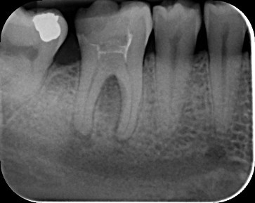
Case 2: Root canal treatment LR6




“Bec and Amit and Smile with us are brilliant. Bec has been so patient...”
“My experience at Smile With Us has been amazing! Have recommended it to a...”
“I find all the staff at Smile With Us, from the reception staff to...”
“Brilliant Dentist. They are all so kind and caring. Certainly recommend them all.”
“I got my normal teeth check up and was seen by the hygienist. Both...”
“I went in for my first filling today and Amit and his team were...”
“I always had problems with my teeth, and I have seen plenty of dentists...”
“I was referred to Smile With Us by family members who had previously undergone...”
“Brilliant team! I first started with my 11-year-old daughter, and they did a fantastic...”
